Crowns & Bridges

Achieving Beautiful Smiles through Expertise and Advanced Treatments

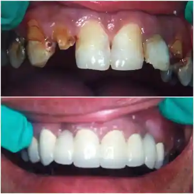
why choose us

Specialty Care for Your Dream Smile!

Our dental restorations offer a plethora of benefits, addressing both functional and aesthetic concerns.

Restoring Damaged Teeth

Restore the tooth to its original shape, size, and function, effectively protecting the tooth from further damage.

Improving Oral Health

Beyond the aesthetic and functional benefits, crowns and bridges play a significant role in improving oral health.

Replacing Missing Teeth

Our team not only helps restore the aesthetics of your smile but also prevents the remaining teeth from shifting into the empty space, which could lead to misalignment and other dental issues.

Enhancing Aesthetic Appearance

Both crowns and bridges are highly effective in improving the appearance of your teeth.

When a tooth is compromised by damage or wear, a premium dental crown can offer protection and reinforcement. Crowns, also referred to as caps, are tailor-made to encase your tooth, blending perfectly with the adjacent teeth for an indistinguishable, natural look. At Burgin Dentistry, we specialize in employing dental crowns for various treatments including addressing substantial cavities, reinforcing fragile teeth, mending fractured teeth, and concealing discoloration. The necessity for dental crowns arises under multiple circumstances. During your visit, we’ll capture impressions of your teeth to ensure your crown is precisely crafted. Should it be necessary, we’re able to apply a provisional crown to safeguard your tooth while your bespoke crown is being fabricated. Upon readiness of your crown, we’ll arrange a fitting session. To ensure comfort, the affected area will be locally anesthetized, with additional sedation options available. Dr. Burgin will then prepare the tooth by removing decay and reshaping it for optimal crown fitting, followed by securing the crown with dental cement or attaching it to an implant. Post-placement adjustments ensure a proper bite alignment, allowing you to resume your day-to-day activities immediately after installation. We’ll also provide guidance on maintaining your new crown. Should any issues arise, our office is here to assist.

Missing teeth extend beyond aesthetic concerns, potentially leading to shifting teeth, discomfort during eating, facial structure changes, or speech difficulties. Dental bridges restore both the look and functionality of your mouth by spanning the gap with a crown and/or bridge, anchored by your natural teeth, implants, or both. Preparation for your bridge includes dental x-rays and impressions to customize your solution. A temporary bridge may be offered during the fabrication of your permanent bridge. Once ready, the bridge is either cemented, attached to implants, or linked to existing teeth based on your specific needs. We take care to ensure the bridge fits comfortably and securely in your mouth and will instruct you on its care.

Dental restorations such as crowns and bridges are often partially supported by dental insurance. Our administrative team is committed to liaising with your insurance provider to determine coverage details and any personal contributions required.

Contact Us

Contact Us

We encourage you to contact us with any questions or comments you may have. Please call our office or use the quick contact form below. 

Contact Information